Аномалия Арнольда-Киари, сирингомиелия
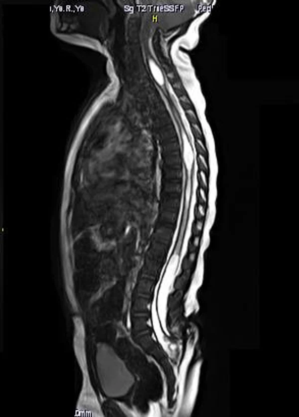
В своей практике с сирингомиелией мы сталкиваемся, как правило, в виде сочетанной аномалии у пациентов со спинальными дизрафизмами и/или аномалией Арнольда-Киари. Операции проводятся при увеличении размеров сирингомиелической полости в динамике, появлении или нарастании патологической неврологической симптоматики. При локализации сирингомиелии на шейном уровне, как правило, причиной ее развития является аномалия Арнольда-Киари. Хирургическое лечение заключается в проведении субокципитальной краниоэктомии, С1-2 ламинэктомии, устранение спаек в области большой цистерны, ревизии отверстия Мажанди и экспансивной дурапластики. После данной операции сирингомиелическая полость, как правило, регрессирует или уменьшается в размерах. Причиной сирингомиелии также может служить укороченная и утолщенная терминальная нить. В таких случаях первично выполняется рассечение терминальной нити. В остальных ситуациях при прогрессировании сирингомиелии на грудном или поясничном уровнях нами выполняется устранение фиксации спинного мозга на уровне сирингомиелии и сиринго-субарахноидальное шунтирование с помощью тонкого силиконового катетера (рис. 15).




