Пороки развития головного мозга
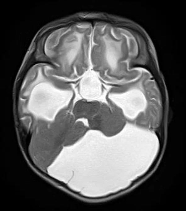
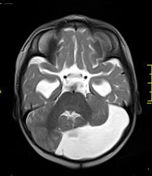
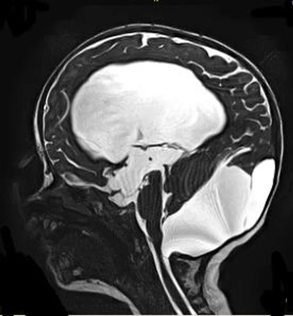
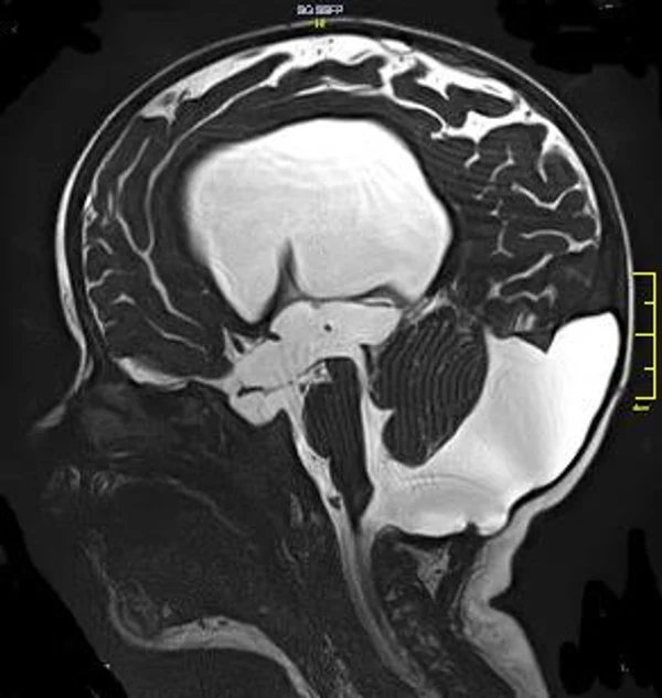
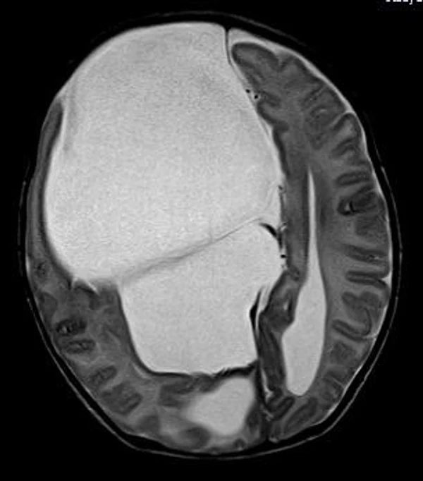
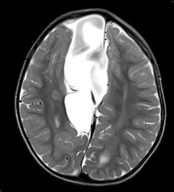
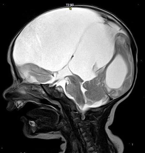
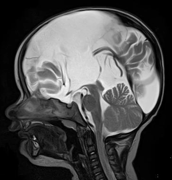
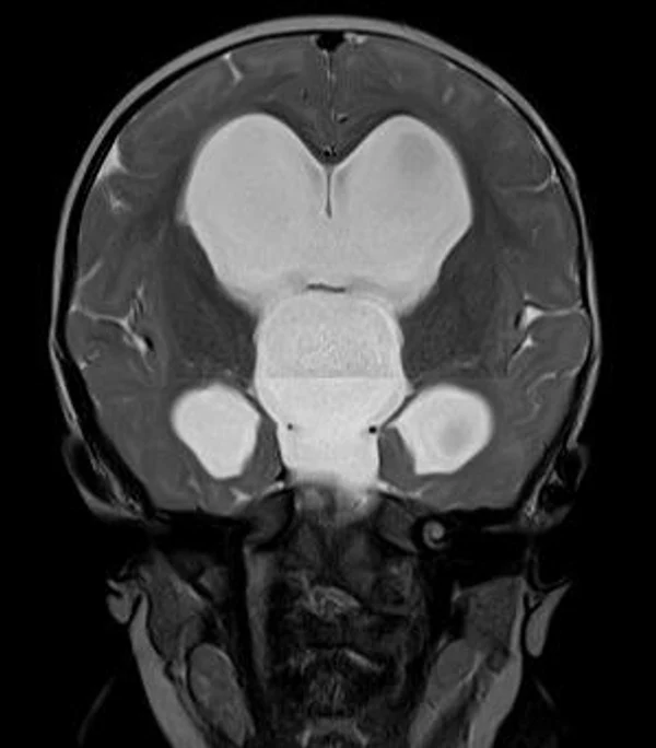
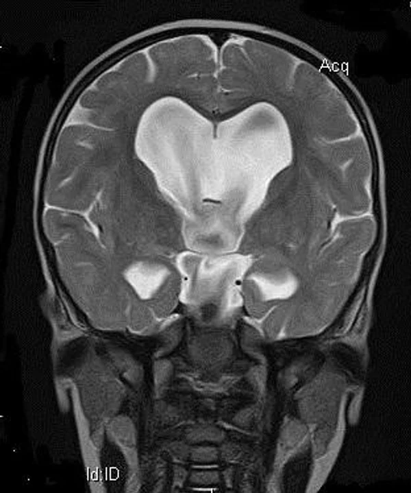
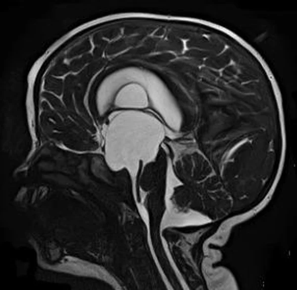
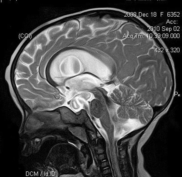
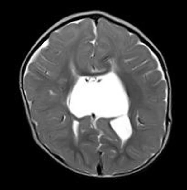
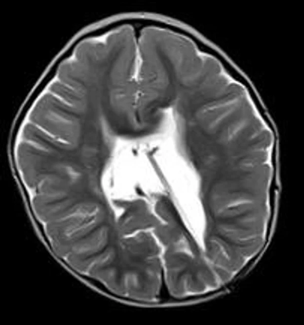
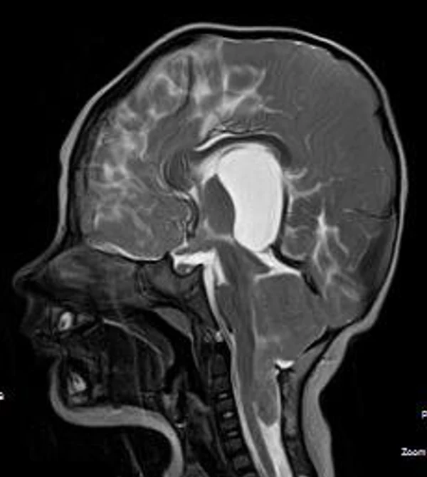
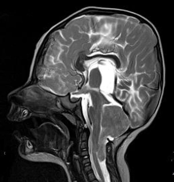
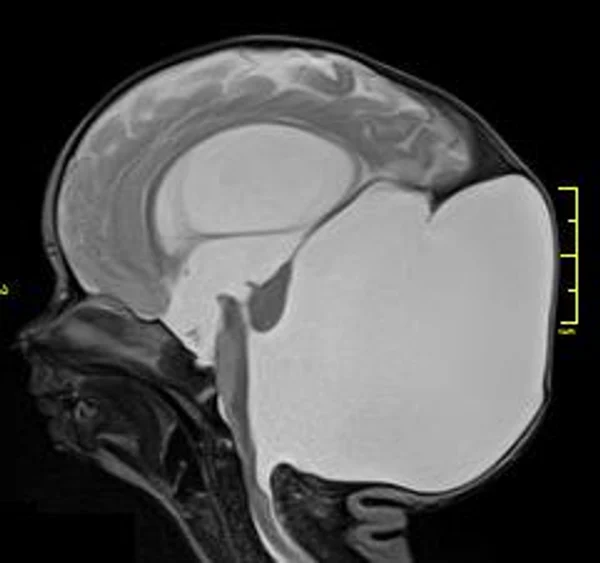
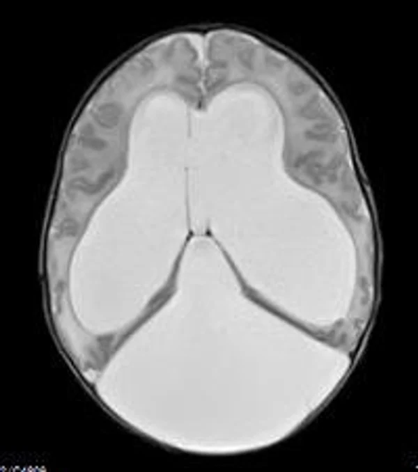
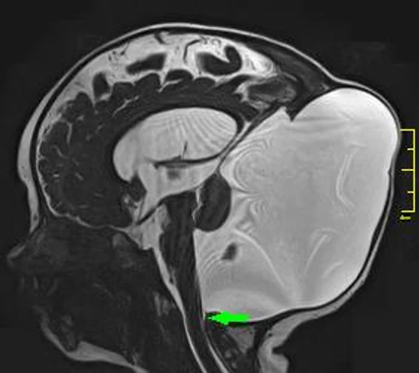
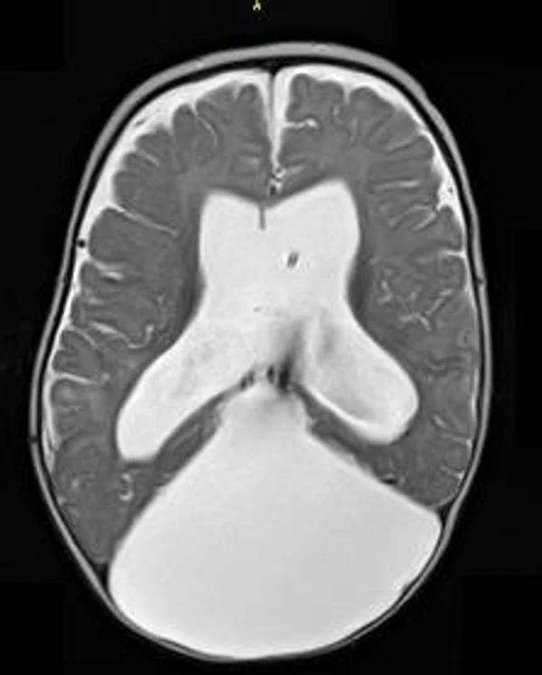
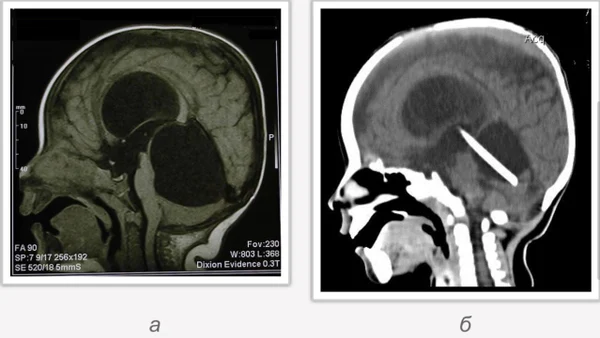
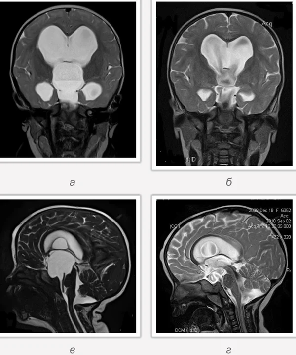
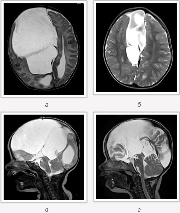
кисты, аномалии Денди-Уокера и др.Операции при внутричерепных кистах. В основном встречаются арахноидальные кисты различных локализаций и кисты сосудистых сплетений боковых желудочков. Пациентам с врождёнными кистами операции проводятся в следующих ситуациях: увеличении объема кисты в динамике, наличии клинических проявлений, компрессии и дислокации мозговых структур, наличии окклюзии ликворных путей. Нами используются 2 способа хирургического лечения кист: эндоскопическая перфорация стенок кист и открытая резекция кист. Открытая резекция кист проводится при ретроцеребеллярных арахноидальных кистах (рис. 2), при арахноидальных кистах межполушарной щели при отсутствии непосредственного контакта их стенок со стенками расширенных желудочков головного мозга и повторного увеличения кист средней черепной ямки после эндоскопической кисто-цистерностомии. Техника операции заключается в проведение краниотомии и максимальном иссечении стенок кист с созданием широкого сообщения кист с субарахноидальным пространством. Эндоскопические операции проводятся при арахноидальных кистах межножковой и пинеальной цистерн, арахноидальных кистах межполушарной щели при тесном контакте их стенок со стенками расширенной желудочковой системы (рис. 3), первично при арахноидальных кистах средней черепной ямки, а также при кистах сосудистых сплетений боковых желудочков. При арахноидальных кистах межножковой цистерны эндоскопически проводится перфорация стенок кисты, сообщая ее с просветом III желудочка и межножковой цистерной – эндоскопическая вентрикуло-кисто-цистерностомия (рис. 4). При арахноидальных кистах пинеальной цистерны проводится перфорация кисты в передне-верхних её отделах с созданием сообщения полости кисты с просветом III желудочка – эндоскопическая кисто-вентрикулостомия. С целью предотвращения облитерации сформированного отверстия иногда в полость кисты под контролем эндоскопа вводится стент перфорированный на протяжении (рис. 5, 6). Эндоскопическая кисто-цистерностомия выполняется при арахноидальных кистах средней черепной ямки. При этом создается широкое сообщение кисты с базальными цистернами. При кистах сосудистых сплетений боковых желудочков проводится их вскрытие в просвет боковых желудочков – эндоскопическая кисто-вентрикулостомия. При множественных кистах проводится их хирургическое сообщение между собой – интеркистосмия














































