Опухоли головного и спинного мозга
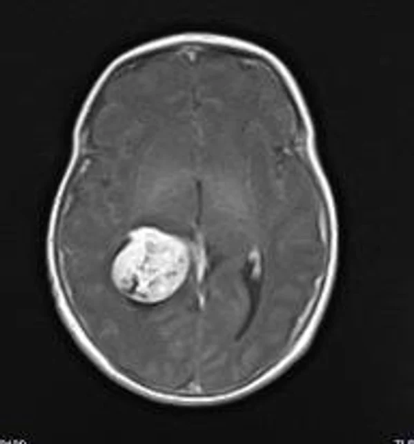
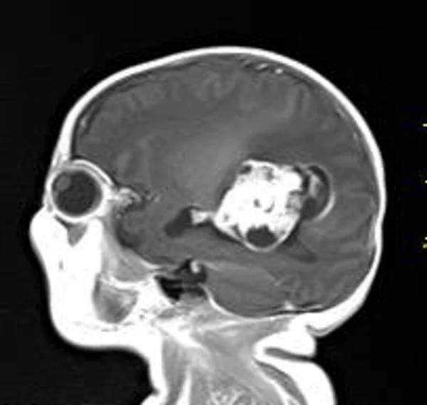
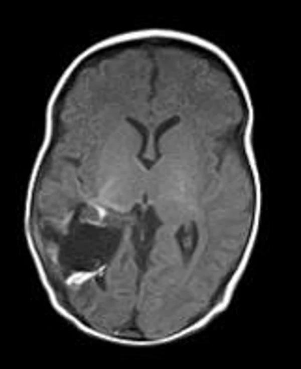
В качестве примера приведены 2 случая хирургического лечения новорожденных с врожденными опухолями головного мозга и позвоночного канала. У новорожденной девочки опухоль (хориодпапиллома) располагалась в области треугольника правого бокового желудочка (рис. 28 а, б). В возрасте 2-х недель жизни опухоль удалена. По данным МРТ головы с внутривенным введением контрастного препарата выполненной через 2 дня после операции опухоль удалена тотально (рис. 28 в). Послеоперационных осложнений не наблюдалось. У второго пациента 2-х нед. жизни врождённая опухоль (нейробластома) располагалась в позвоночном канале на уровне Th10-L3 позвонков (рис. 29 а) и распространялась в забрюшинное пространство. Клиническая картина заболевания складывалась из нижнего вялого парапареза и нарушения функции тазовых органов. Во время операции остистые отростки Th 11-L3 позвонков рассечены по средней линии. Дужки 6 данных позвонков надломлены и разведены в стороны. Опухоль располагалась экстрадурально, отделена от дорзальной поверхности дурального мешка и корешков спинно-мозговых нервов, после чего полностью удалена из позвоночного канала. Половинки дужек позвонков сведены к средней линии и сшиты между собой. Опухолевый узел в забрюшинном пространстве через 2 нед. удален онкологами. Через год после операции по данным МРТ рецидива опухоли нет (рис. 29 б). При спондилографии дефектов задней стенки и деформаций позвоночника не выявлено (рис. 29 в). Мальчик ходит, мочу и кал удерживает.




















