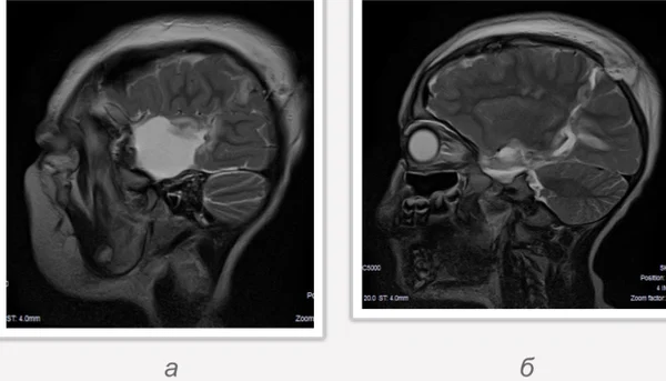
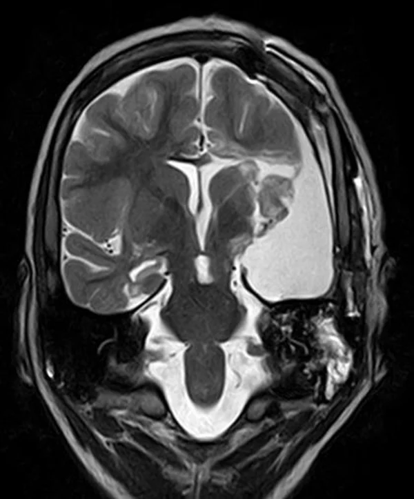
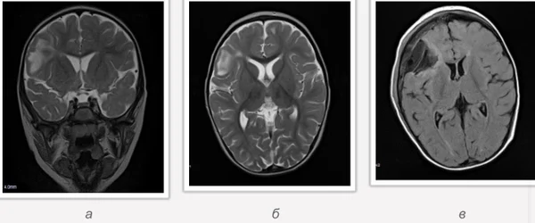
Фармакорезистентная эпилепсия
Хирургический метод лечения эпилепсии является достаточно эффективным и проводится пациентам при неудовлетворительных результатах консервативного лечения. Операции направлены на выявление, удаление или изолирование эпилептогенного очага в головном мозге, либо на подавление эпилептической активности головного мозга.


























