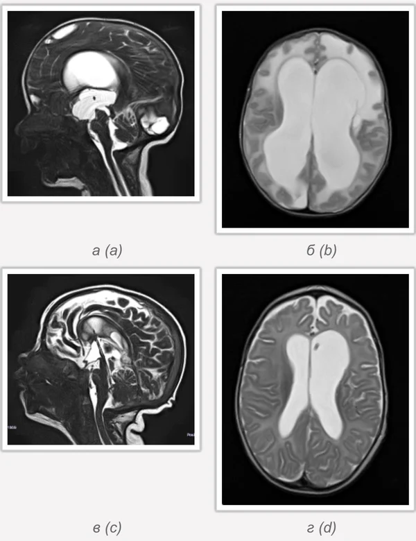
Гидроцефалия
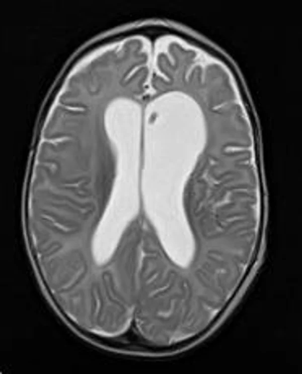
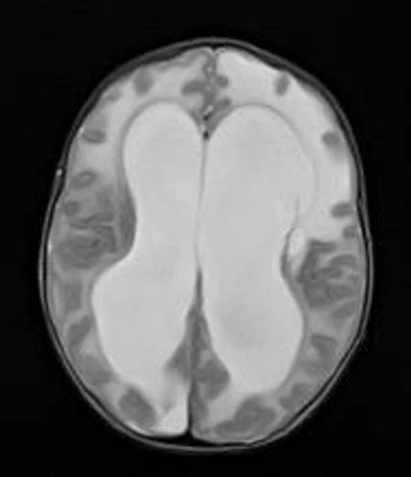
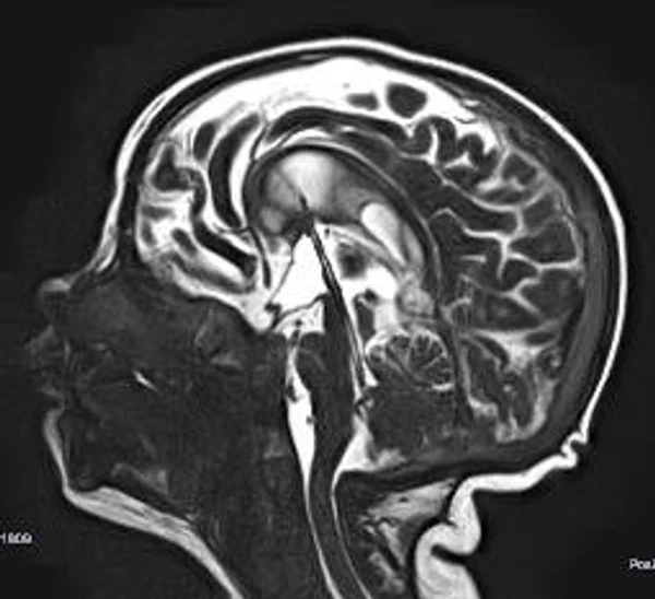
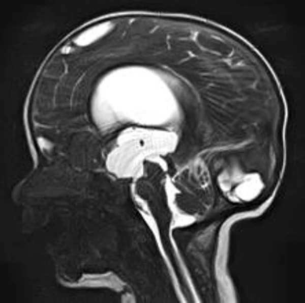
Основной причиной гидроцефалии является окклюзия ликворных путей, встречающаяся у новорожденных детей в 60-70% случаев, к 3 годам частота окклюзионной гидроцефалии достигает 90%. Поэтому основной задачей лечения гидроцефалии являются устранение окклюзии ликворных путей, восстановление циркуляции ликвора и нормализация внутричерепного давления. В настоящее время эти задачи успешно позволяют решить эндоскопические методы хирургического лечения гидроцефалии. Эндоскопические операции проводятся нами во всех возрастных группах, включая недоношенных новорожденных детей, при разных локализациях и количествах окклюзий. При этом если эндоскопическая перфорация дна III желудочка (син.: эндоскопическая III-вентрикулостомия) малоэффективна у детей до 2-3-х летнего возраста, то новые методы эндоскопических операций, направленные на реканализацию естественных путей оттока ликвора с имплантацией стента (например эндоскопическая акведуктопластика, стентирование водопровода мозга) позволяют избежать имплантации шунтирующих систем у большинства пациентов с окклюзионными формами гидроцефалии. С целью снижение объема секреции ликвора и увеличения эффективности эндоскопических опеарций в некоторых случаях в комплексе с другими эндоскопическими операциями проводится эндоскопическая плексусэктомия. Операция заключается в коагуляции сосудистых сплетений боковых желудочков с последующим удалением их гломусных частей. Эндоскопические операции также проводятся при дисфункции ранее установленных шунтирующих систем у пациентов с окклюзионной гидроцефалией, что часто избавляет пациента от «шунт зависимости» и создает условия для удаления шунта. Имплантация ветрикулоперитонеальных, вентрикулоатриальных и др. шунтирующих систем нами применяется при сообщающейся форме гидроцефалии. У пациентов с окклюзионными формами гидроцефалии шунтирующие операции проводятся только при неэффективности ранее проведенных эндоскопических операций.








