Опухоли черепа
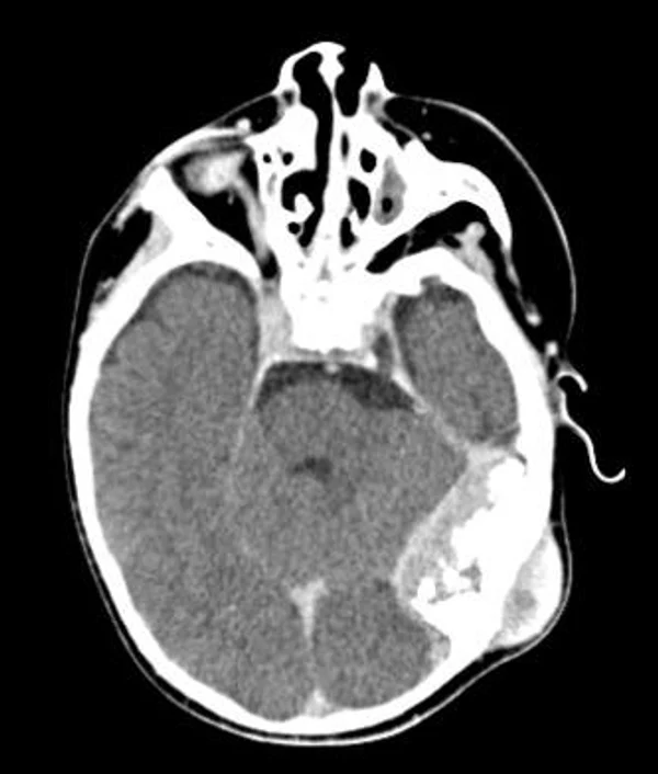
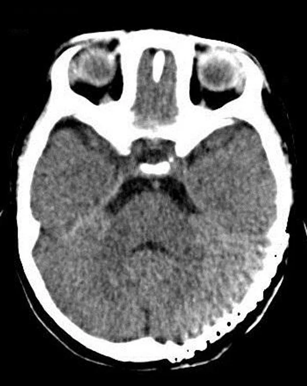
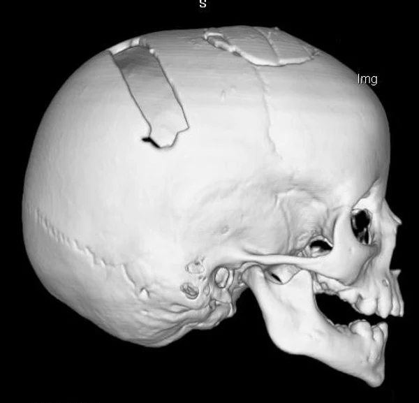
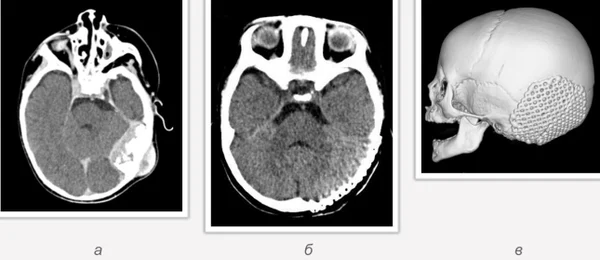
Удаление опухолей черепаВ качестве примера лечения пациентов с опухолями черепа привожу личное наблюдение пациента грудного возраста с опухолью черепа. В возрасте 1 мес. у ребёнка в затылочной области слева родителями обнаружено плотное образование диаметром 5 мм. За 3 мес. до госпитализации образование значительно увеличилось в размерах. При поступлении в возрасте 6 мес. в затылочной области слева (в проекции лямбдовидного шва) имеется безболезненное, плотное, неподвижное, бугристое образование размерами 5 х 4 х 2 см. При КТ и МРТ головы выявлена опухоль черепа в области астериона слева, обладающая преимущественно интракраниальным ростом (рис. 30 а). Ребёнку выполнено удаление опухоли черепа (рис. 30 б). Образовавшийся дефект черепа больших размеров закрыт перфорированной титановой пластиной (рис. 30 в). При наблюдении пациента в течении 2-х лет рецидива заболевания и деформации черепа не отмечалось.




















