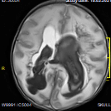
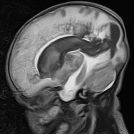
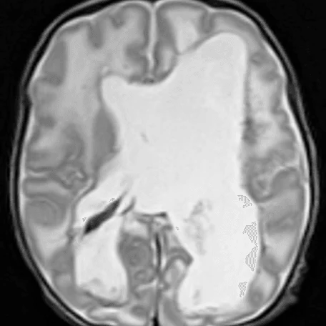
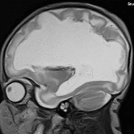
Внутрижелудочковые кровоизлияния
Чаще возникают у недоношенных новорожденных. Основным источников ВЖК служат сосуды эпендимы мозга и сосудистые сплетения. Способствующие факторы: затяжные или быстрые роды, перинатальная гипоксия, коагулопатии, нестабильность гемодинамики у новорожденного.








